Hochpräzise Behandlung von Tumoren & Gefässveränderungen im Gehirn – ambulant, schmerzfrei, effektiv
Die Diagnose Hirntumor zu erhalten, stellt für Betroffene und Angehörige einen besonderen Einschnitt im Leben dar. Diese Situation ist sehr belastend und oftmals mit Sorgen und Unsicherheiten verbunden.
Schnell kommt die Frage nach möglichen Behandlungsformen auf. Eine Option ist die hochpräzise Radiochirurgie, welche die SNRC AG in Zürich auf dem neusten Stand der Technik mit dem ZAP-X® anbietet. Diese Form bietet den Betroffenen eine Alternative bzw. Ergänzung zur klassischen Operation oder der herkömmlichen, meist langwierigen Strahlentherapie.
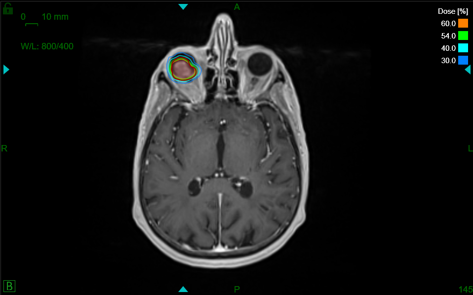
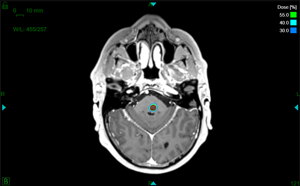
Mit dem ZAP-X können Tumore, Metastasen und auch Krankheitsbilder wie Trigeminusneuralgie hochpräzise, effektiv, nachhaltig und bei gleichzeitiger Schonung des umliegenden, gesunden Gewebes therapiert werden. Die Behandlung erfolgt ambulant und ohne Narkose. Sie dauert ca. eine Stunde, ist absolut schmerzfrei und die Patienten können im Anschluss direkt nach Hause.
Bei folgenden Krankheitsbildern ist eine Behandlung mit dem ZAP-X denkbar.
Für eine bestmögliche Behandlung arbeiten im SNRC Experten diverser Fachrichtungen Hand in Hand. Das Team greift auf einen grossen Erfahrungsschatz im Bereich der Radiochirurgie zurück.
Krankheitsbilder, welche mit dem ZAP-X behandelt werden können
Gutartige Hirntumore
– Vestibularis-Schwannom / AKN
– Meningeom
– Hypophysenadenom
– Neurinom anderer Hirnnerven
– Glomus-jugulare Tumore
Bösartige Hirntumore
– Hirnmetastase
– Glioblastomrezidiv
– Chordom & Chondrosarkom
Funktionelle Erkrankungen
– Trigeminusneuralgie
Gefässmalformationen
– Arteriovenöse Malformationen (AVM)
– Cavernom
Tumore der Augen
– Aderhautmelanom
– Retinoblastom
Sendung „Gesundheit Heute“ – Eine Patientengeschichte von einer Behandlung am ZAP-X
In der TV-Sendung „Gesundheit Heute“ mit Dr. Jeanne Fürst vom 27.04.2024 wird die Behandlung eines Patienten mit Vestibularisschwannom am ZAP-X Gerät gezeigt.
